Monday, December 31, 2012
Eat Less Sugar
Read Two Books A Month
Keep A Journal Or Diary
Write About Your Family
Learn A Language
Quality Sleep
Take Walks
Play Word And Number Games
Never Stop Learning
Wednesday, November 28, 2012
Urban Legends of the Orthodontic World
Urban Legends of the Orthodontic World
There are a lot of urban legends and myths about orthodontists and their services. Some of these have become so commonplace that they are now inseparable from the actual facts. As an orthodontist, I feel it is my responsibility to educate both my patients and the public so that they can have a clear understanding of what I do and how I can help them. With that in mind, I’d like to take a few minutes to debunk some of the common orthodontic urban legends and myths.
Myth One: I don’t need an orthodontist because my general dentist can take care of the problem. While your general dentist is undoubtedly a talented and educated professional, when you have a dental issue that falls into the realm of orthodontics you should see a specialist (orthodontist). Why? Orthodontists receive more specialized formal education than a general dentist. Not only do orthodontists complete four years of dental school, they also receive 2-3 additional years of intensive clinical and didactic training. This greater knowledge base allows for more efficient treatment times with more consistent treatment results.
Myth Two: Only children or teens need to visit an orthodontist. Some people believe that braces are only for children or teens. They are often surprised to find that orthodontists treat adults on a regular basis. In fact, the number of adult patients is on the rise. According to the New York Times, between 1994 and 2010, the number of Americans over 18 getting either braces or some type of teeth-straightening treatment from an orthodontist went from 680,000 per year to 1.1. million per year (Newman, 2012). Adult patients now make up approximately 22% of orthodontic patients in the US. No matter your age, dental health and a dazzling smile can be achieved and often times, orthodontics is a key component in reaching that goal.
Myth Three: Braces are just for cosmetic purposes and aren’t necessary for my dental health. While braces can definitely help you get that beautiful smile, they aren’t just for cosmetic improvement. Well aligned teeth can facilitate good oral hygiene making it easier to prevent tooth decay and gum disease. In addition, resolving certiain orthodontic problms with the use of braces can improve your ability to speak, chew, and even breathe.
Myth Four: Getting braces is extremely painful. Adults and children alike often associate braces with pain. This may stem from a painful dental experience in the past. Fortunately, there is no pain involved in putting on braces or adjusting the wires. Only several hours after the proceduere do the teeth become sensitive to pressure. This pain is not a toothache. The teeth only hurt when they are biting into solid foods. If the teeth are apart, no pain is felt. This sensitivity to pressure gradually diminishes over the coure of 2-4 days. If you ever feel a sharp or stabbing pain that is persistent consult with your orthodontist to make sure there aren't any problems.
Myth Five: My braces will set off metal detectors (like those in airports) and cause me to be struck by lightning. No, none of the above. Braces can be made of a variety of materials; however, metal alloys are the most common material. Because the metal used is so light weight, they will not trigger any security systems in the airport or anywhere else. As for lightning, with or without braces your chances of gettting struck by lightning are the same. 1 out of 775,000 (Dr. Cooper, n.d.).
These are just a few of the urban legends and myths associated with orthodontics. If you have additional concerns or questions about orthodontics and orthodontists feel free to set up an initial consultation with me. I’ll be happy to provide you with all the information you are looking for.
Resources
Cooper, M. A. (n.d.). Medical Aspects of Lightning. Retrieved from http://www.lightningsafety.noaa.gov/medical.htm
Newman, A. A. (2012). Orthodontists Market to Adults Seeking Prettier Smiles. Retrieved from http://www.nytimes.com/2012/02/02/business/media/orthodontists-market-to-adults-seeking-prettier-smiles.html
Thursday, November 22, 2012
Celebrating the Holidays with Braces
What foods to eat and what foods to avoid this holiday season
With Thanksgiving already here and December clearly in site, the holiday season is really getting underway. It’s an exciting time of the year because there’s so much to look forward to including time off from school and work, family gatherings, gift giving and receiving, decorations, and let’s not forget the food! The holiday season brings with it fabulous foods that you probably don’t get to indulge in the rest of the year. Unfortunately, a lot of these delicious, mouth watering dishes pose a real problem to individuals with braces. To help, I’ve created two lists to guide individuals with braces safely through any holiday feast.
The Naughty List
If you have braces beware of the foods I’ve placed on the naughty list this year. Indulging in these foods could result in damage to your braces including loose bands, broken wires, or detached brackets. Damage can be costly, painful, and prolong treatment time.
In general, you should limit your intake of foods and beverages (such as soda) that contain high amounts of sugar. Sugar is eaten by the bacteria that live in the mouth; in turn, the bacteria excrete acids which lead to tooth decay and cavities.
The Nice List
This holiday season, try to pick foods that I’ve placed on the nice list whenever possible. Play it safe! I’m sure no one wants to be spending the day after Thanksgiving at the orthodontist’s office. Here are some foods to enjoy this holiday season:
Enjoy your holiday season; spend it with your friends, family and colleagues - not your orthodontist! The best way to do that, if you wear braces, is to follow the naughty and nice lists I’ve created. If you see a dish on your dinning room table that isn’t on my lists the best way to evaluate it is to ask yourself these two questions:
- Is it sticky and/or chewy?
- Is it hard - if I bit into it, would it go crunch?
If the answer is yes to either of the above questions than avoid that food! Move on to other, friendlier dishes. I know this means giving up some of your favorite foods but in the long run, it’ll be worth it because you’re going to have a beautiful smile, and isn’t that one of the best holiday gifts you could give yourself?
Wednesday, August 29, 2012
Narrow Smile
![]() |
| The narrowness of the upper portion of her upper jaw resulted also in a protrusion of the upper teeth. |
![]() |
| This is the most dramatic view of the narrowness of her jaw. |
![]() |
| This is the same picture of her upper teeth after braces. She elected to wear a permanent retainer which is what you see bonded to the back of her front teeth. |
![]() |
| You can see the improvement in the width of the jaws. I also manicured the edges of her incisors so they have the correct shape and contours. |
![]() |
| The overbite was corrected. |
![]() |
| You can see the dramatic improvement in her smile! |
Friday, August 17, 2012
Teenager With Dental Crowding and Overbite
![]() |
| When she smiled it was evident that she had "crooked teeth." This was a result of a crowding problem. The teeth that had grown in were too large for the current size of her jaws. |
![]() |
| This is a view of the crowding of the upper teeth looking up into the mouth. |
![]() |
| The bottom teeth also had some crowding but it was mild compared with the upper teeth. |
![]() |
| Her jaws were expanded to accommodate the crowded teeth leaving her with a beautiful, broad smile. |
![]() |
| Tooth alignment has been achieved using braces. |
![]() |
| You can see the broadness of the dental arches which contributes to her beautiful smile. |
![]() |
| Happy Mother and Daughter!!! |
Friday, May 25, 2012
Orthognathic Surgery
People who have severe skeletal discrepancies also have poor facial balance which negatively affects their appearance. When severe, surgical correction of the jaw positions is necessary to achieve proper facial balance. This type of surgical procedure is called “orthognathic surgery.” In our day and age, all orthognathic surgery must be done in conjunction with orthodontic treatment. Orthodontics is a crucial part of the process because the teeth must fit together perfectly when the jaw bones are reset. Therefore, every patient that needs jaw surgery will also have at least some movement of the teeth prior to the surgery being performed. This allows for a proper bite at the time of surgery. In addition, the attachments on the braces and wires allow the oral surgeon to use miniature elastics to hold the jaws closed during healing. The patient can then recover without having the mouth wired closed.
The patient below is a professional singer who is in the public eye every day. She had braces as a child but was unhappy with the way that her teeth looked. She came to my office for a consultation hoping to resolve her concerns by wearing braces. In every case, and especially in a situation like this, it is very important as an orthodontist to really understand the chief concern that each patient would like addressed. As I looked in her mouth, I did see that she had some bite problems but they were not severe. If my goal was only to fix the bite, I could have done that easily with braces alone.
As we talked, however, it became clear to me that she was more unhappy with the structure of her jaws and lower face than the position of her teeth.
In this picture you can see that in order for her to close her lips together, she has to flex the muscle of her chin. If the lips do not come together comfortably when all of the facial muscles are relaxed, it requires the chin muscle or "mentalis" muscle to flex in order to get the lips closed. This is called mentalis strain or lip strain. It can result from two skeletal problems. First, the height of the lower face is too large requiring the lips to "reach" further to keep the mouth close. Second, when the lower jaw is behind the upper jaw, the lower lip can get "trapped" below the upper teeth requiring the chin muscle to flex and force the lower lip forward and up to get the lips together. In her case, both of these problems were present causing significant mentalis strain on lip closure.
You can see from this picture that when she smiles, she shows an excessive amount of gum tissue. In orthodontics this is known as a "gummy smile." It can be the result of a very mobile upper lip that lifts higher than normal but more commonly is it a result of the upper jaw being positioned too far below the nose and cheeks. That is the case with this patient and it is a problem with structure of the craniofacial bones, not the position of the teeth.
In the profile view, the retruded position of the mandible is apparent. The mentalis strain mentioned above is also evident. A more forward position of the lower jaw and chin would go a long way to achieving proper facial balance.
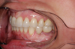
A view of the occlusion shows that the lower front teeth are positioned behind the upper front teeth. In orthodontics, this is called overjet but "overbite" is the term used in the general populations. If facial structure were not an issue, the bite could be corrected using braces alone.


This x-ray is called a panoramic x-ray and it shows that the wisdom teeth have been extracted. Also, four premolar or "bicuspid" teeth were removed prior to her first set of braces when she was a child. The orthodontics used the spaces gained from those extractions to align the teeth.
This x-ray is called a cephalometric x-ray and is very useful to the orthodontist and the oral surgeon in determining the position of the jaws and in planning the jaw movements that need to be made.
You can see the facial changes that were made using combined orthodontic treatment and orthognathic surgery. The lower facial height decreased allowing for more relaxed lip closure.
The jaws were expanded resulting in a broader smile. The upper jaw was also lifted resulting in less gum display when smiling.
The lower jaw and chin projection increased dramatically taking away the lip strain that pre-surgically was needed to close her mouth. This procedure was done without any implanted chin material so the results will last a lifetime.
Wednesday, May 16, 2012
When Should I Bring My Child In For An Orthodontic Consultation? By trumanorthodontics on 2/20/2012 11:21 AM
![]() |
| One of the most common questions that people ask me is: When should my son or daughter get braces? |
![]() |
| This x-ray shows permanent teeth (which have no tooth buds underneath) as well as baby teeth (which have the buds of permanent teeth underneath them) |























































